Defence Smile Center is a trusted dental clinic in Lahore, offering comprehensive care through a team of experienced male and female dental specialists. Our clinic is committed to delivering high-quality dental treatments using modern techniques, advanced technology, and strict hygiene standards.
We provide a wide range of dental services at transparent and competitive pricing—without compromising on quality or patient safety. At Defence Smile Center, we believe that every smile is unique. Our specialists take the time to understand your concerns, clearly explain treatment options, and deliver care with realistic outcomes and personalized attention.

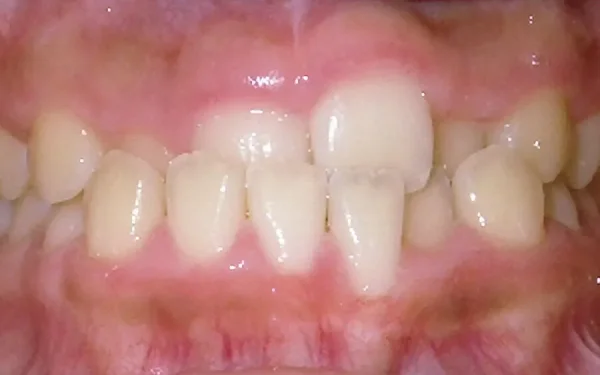
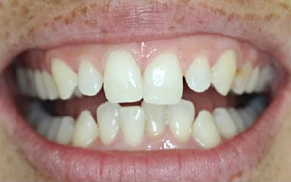
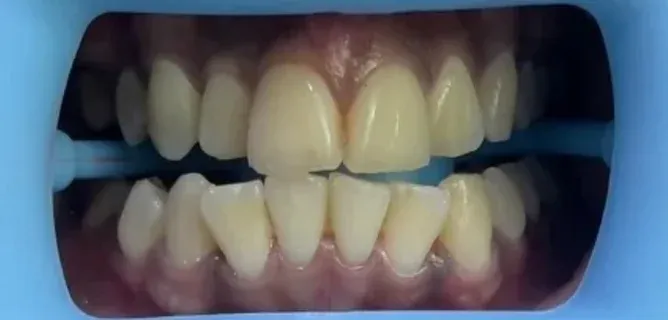
With advanced orthodontic technology and the expertise of our experienced specialists, braces can gently and effectively align your teeth for long-lasting results. Straight teeth not only enhance your appearance but also improve confidence and oral health. Explore our before-and-after gallery to see real smile transformations achieved at Defence Smile Center.

Straight teeth can significantly enhance both confidence and overall appearance. Invisalign offers a discreet and comfortable way to align your teeth using clear aligners designed to fit seamlessly into your lifestyle. Explore our before-and-after gallery to see real Invisalign results achieved through expert orthodontic care at Defence Smile Center.





Book your appointment today and take the first step toward a healthier, brighter smile. At Defence Smile Center, we prioritize your safety, comfort, and satisfaction at every visit.
At Defence Smile Center, your safety is our top priority. We adhere to rigorous infection control measures to ensure a clean and secure environment for every patient.
Strict sterilization has always been part of our clinic culture. Every instrument and surface is carefully sanitized through a multi-step protocol to maintain the highest hygiene standards.
I got my lil sister’s fillings done from Dr.Asdaq She is just 9 years old and the way he did all the fillings was amazing He showed us all the before and after…
I’m absolutely thrilled with the exceptional service provided by Dr. Asdaq! He extracted my mother’s tooth with utmost care and precision, completely…
Dr. Asdaq is a SUPER DENTIST! He worked wonders on my tooth, saving it with an amazing RCT treatment despite it being badly decayed and causing…
4 months ago